Размер шрифта:
Цвет сайта:
Изображения:
Обычная версия сайта
Фоторепортаж
23 августа 2022 г.
23 августа 2022 г.
23 августа 2022 г.
23 августа 2022 года
23.08.2022 г.
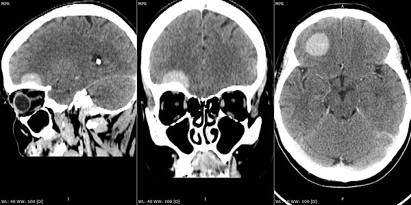
В Кировской областной клинической больнице активно развивается малоинвазивная нейрохирургия
Новое на сайте
Срочно требуются
Врач-педиатр участковый
КОГБУЗ "Кировская городская больница № 2"
Зарплата от 100 000 руб.
Жильё не предоставляется, предоставляется специальная социальная выплата, Возможна частичная компенсация расходов за частный детский сад для ребенка (в том числе за счет средств учреждения)
(8332) 410060 (доб.218)
Врач-педиатр участковый
КОГБУЗ "Кировская клиническая больница № 7 им. В.И. Юрловой"
Зарплата от 70 000 руб.
Жильё не предоставляется, Размер заработной платы зависит от наличия квалификационной категории, ученой степени, стажа работы в медицинских учреждениях, выполнение критерий оценки эффективности и качества работы, в т.ч. выполнение критериев эффективности по раннему выявлению онкологических заболеваний, низкой смертности на участке, проведение диспансеризации и профилактических медосмотров и пр., Выплаты компенсационного и стимулирующего характера персональный повышающий коэффициент для специалистов, впервые заключивших трудовой договор по полученной специальности в течение первых 3х лет, возможность прохождения повышения квалификации, тематического усовершенствования в учебных заведениях за пределами Кировской области, В том числе специальная социальная выплата – 14 500 руб. (Постановление Правительства РФ от 31.12.2022 № 2568)
(8332) 56-64-91
Врач-терапевт
КОГБУЗ "Котельничская центральная районная больница"
Зарплата 50 000 руб.
Жильё предоставляется, Размер заработной платы зависит от наличия квалификационной категории, стажа непрерывной работы, Предоставляется соц. пакет в соответствии с ТК РФ (в т.ч. предоставление ежегодного дополнительного оплачиваемого отпуска, осуществление выплат за работу с вредными и (или) опасными условиями труда), выплаты по программе «Земский доктор» в размере 1 млн. рублей, выплаты по программе «Вятский медик» в размере 500 тыс. рублей, ежемесячная специальная социальная выплата 50 000 рублей, возможность переобучения по другой специальности (востребованной в учреждении)
отдел кадров (83342)4-05-46, главный врач 8 (83342) 4-18-48
Врач-стоматолог
КОГБУЗ "Котельничская центральная районная больница"
Зарплата 50 000 руб.
Жильё благоустроенная квартира, Размер заработной платы зависит от наличия квалификационной категории, стажа непрерывной работы, Предоставляется соц. пакет в соответствии с ТК РФ (в т.ч. предоставление ежегодного дополнительного оплачиваемого отпуска, осуществление выплат за работу с вредными и (или) опасными условиями труда), выплаты по программе «Земский доктор» в размере 1 млн. рублей, выплаты по программе «Вятский медик» в размере 500 тыс. рублей, ежемесячная специальная социальная выплата 50 000 рублей, возможность переобучения по другой специальности (востребованной в учреждении)
отдел кадров (83342)4-05-46, главный врач 8 (83342) 4-18-48
Врач-гастроэнтеролог
КОГБУЗ "Кировская областная детская клиническая больница"
Зарплата от 45 000 руб.
Жильё не предоставляется, конкретная заработная плата зависит от наличия квалификационной категории, стажа непрерывной работы, научного звания, социальный пакет (оплачиваемый основной и дополнительный отпуск, больничный, отчисление в различные фонды, включая ПФ РФ, компенсация платы за частный детский сад)
(8332) 620992
Врач-хирург
КОГБУЗ "Кировская клиническая больница № 7 им. В.И. Юрловой"
Зарплата от 70 000 руб.
Размер заработной платы зависит от наличия квалификационной категории, ученой степени, стажа работы в медицинских учреждениях, выполнение критерий оценки эффективности и качества работы, в том числе, специальная социальная выплата – 14 500руб. (Постановление Правительства РФ от 31.12.2022 № 2568), Выплаты компенсационного и стимулирующего характера, Персональный повышающий коэффициент для специалистов, впервые заключивших трудовой договор по полученной специальности в течение первых 3х лет, Возможность прохождения повышения квалификации, тематического усовершенствования в учебных заведениях за пределами Кировской области
(8332) 56-64-91
Врач-терапевт
КОГБУЗ "Санчурская центральная районная больница имени заслуженного врача РСФСР А.И. Прохорова"
Зарплата от 90 000 руб.
Жильё не предоставляется, Зарплата с учетом ССВ, Выплата за стаж: 3 года работы – 10 % от оклада, 5 лет работы – 15% от оклада, выплата за квалификационную категорию: высшая – 25 % должностного оклада, первая – 18 % должностного оклада, вторая – 11 % должностного оклада, При трудоустройстве устанавливается персональный повышающий коэффициент к должностному окладу молодым специалистам – медицинским работникам в возрасте до 35 лет, впервые заключившим трудовой договор с учреждением после окончания государственных образовательных организаций в размере – 15% должностного оклада, Возможность внутреннего совместительства, Дополнительный отпуск за вредные условия труда 14 календарных дней, Трудоустройство в рамках программ: «Земский доктор» - выплата 1,5 млн. руб., «Вятский медик» - выплата 500 тыс. руб., Социальные гарантии, - доступная инфраструктура, - частичная компенсация аренды жилья, - первоочередное предоставление мест в дошкольных образовательных учреждениях и общеобразовательных организациях, - соц. пакет, - льготная пенсия, - выплата за стаж непрерывной работы, - обучение, - дружный коллектив, - возможность профессионального и карьерного роста
Главный врач 89195130141, кадры (83357) 2-22-44
врач-терапевт участковый
КОГБУЗ "Лузская центральная районная больница"
Зарплата от 80 000 руб.
Жильё не предоставляется, Заработная плата указана с учетом специальной социальной выплаты., Выплаты за стаж непрерывной работы: 3 года - 10% от оклада, 5 лет – 15% от оклада., Персональный повышающий коэффициент молодым специалистам, впервые заключившим трудовой договор после окончания образовательной организации – 0,15., Выплата за наличие квалификационной категории:, Высшая – 25% от оклада, Первая – 18% от оклада, Вторая – 11% от оклада., Дополнительный отпуск за вредные условия труда – 14 календарных дней, Единовременная компенсационная выплата в соответствии с Постановлением Правительства Кировской области от 12.03.2018г № 111-П в размере 1 млн. рублей (кроме целевиков), Социальная поддержка в соответствии с Постановлением Правительства Кировской области от 02.02.2018г № 46-П в размере 500 тыс. рублей, Перспективы карьерного роста, возможность получения новой специальности, Комфортные условия труда
отдел кадров (83346) 5-28-11
Врач-терапевт
КОГБУЗ "Кировский областной госпиталь для ветеранов войн"
Зарплата 60 000 руб.
Соц.пакет, ежегодный медосмотр за счет работодателя
(8332) 37-23-51
Врач-хирург
КОГБУЗ "Котельничская центральная районная больница"
Зарплата 50 000 руб.
Жильё благоустроенная квартира, Размер заработной платы зависит от наличия квалификационной категории, стажа непрерывной работы, Предоставляется соц. пакет в соответствии с ТК РФ (в т.ч. предоставление ежегодного дополнительного оплачиваемого отпуска, осуществление выплат за работу с вредными и (или) опасными условиями труда), выплаты по программе «Земский доктор» в размере 1 млн. рублей, выплаты по программе «Вятский медик» в размере 750 тыс. рублей, ежемесячная специальная социальная выплата 50 000 рублей, возможность переобучения по другой специальности (востребованной в учреждении)
отдел кадров (83342)4-05-46, главный врач 8 (83342) 4-18-48
Врач-оториноларинголог
КОГБУЗ "Кировская городская больница № 5"
Зарплата от 50 000 руб.
Жильё не предоставляется, Полный соцпакет, Устанавливаются выплаты стимулирующего и компенсационного характера, Предоставляются специальные социальные выплаты, Возможность совмещения профессии, обучение до дополнительной специальности, Предоставляются оплачиваемые основные и дополнительные отпуска, Выдаются документы на внеочередное предоставление мест в детские садики и в образовательные учреждения, Комфортные условия труда, Дружный коллектив, ориентированный на сотрудничество, Возможность профессионального и карьерного роста
(8332) 40-00-51
Врач общей практики
КОГБУЗ "Слободская центральная районная больница имени академика А.Н. Бакулева"
Зарплата от 70 000 руб.
Жильё предоставляется, единовременная компенсационная выплата по программе «Земский доктор» в размере 1 млн. рублей, единовременная денежная выплата по программе «Вятский медик» в размере 500 тыс. рублей, социальный пакет, ежегодный оплачиваемый отпуск 42 календарных дня, оформление на работу, предоставление гарантий и компенсаций в соответствии с трудовым законодательством, возможность профессионального развития и карьерного роста, компенсация проезда к месту работы
(83362) 9-46-01, 9-46-06, отдел правовой и кадровой работы министерства здравоохранения Кировской области - телефон (8332) 27-27-25 добавочный 2555, адрес электронной почты guseva@medkirov.ru
Заведующий отделением, врач-терапевт
КОГБУЗ "Кирово-Чепецкая центральная районная больница"
Зарплата 79 500 руб.
Жильё предоставляется, размер заработной платы указан с учётом специальных социальных выплат, Социальные гарантии – доступная инфраструктура, первоочередное предоставление мест в дошкольных образовательных учреждениях и общеобразовательных организациях, соц. пакет, льготная пенсия, дополнительный отпуск за вредные условия труда, выплата за стаж непрерывной работы, оплата листков нетрудоспособности, гарантии обязательного государственного социального и пенсионного обеспечения в соответствии с федеральным законом
(83346) 4-59-60, 46404
Врач-инфекционист
КОГБУЗ "Кировская городская больница № 2"
Зарплата от 55 000 руб.
Жильё не предоставляется, предоставляется специальная социальная выплата
(8332) 410060 (доб.218)
Врач-акушер-гинеколог
КОГБУЗ "Свечинская центральная районная больница"
Зарплата от 52 000 руб.
Жильё предоставляется, выплата по программе «Земский доктор» в размере 1,5 млн. рублей, выплата по программе «Вятский медик» в размере 750 тыс. рублей, частичная компенсация расходов на оплату коммунальных услуг, социальный пакет, основной отпуск – 28 календарных дней, дополнительный отпуск - 14 календарных дней, выплаты за вредные условия работы не менее 4%, возможность совместительства, возможность переподготовки по смежной специальности
гл, врач: (83358) 2-14-48, отдел кадров 8 (83358) 21-454
Врач-педиатр или Врач-педиатр участковый
КОГБУЗ "Опаринская центральная районная больница"
Зарплата от 70 000 руб.
Жильё предоставляется, Молодым специалистам на протяжении 3- х лет работы выплачивается доплата в размере 15 % от должностного оклада, Дополнительный заработок - возможность дежурств по больнице, возможность внутреннего совместительства, Социальные гарантии – доступная инфраструктура, служебное жильё, первоочередное предоставление мест в дошкольных образовательных учреждениях и общеобразовательных организациях, соц. пакет, льготная пенсия, дополнительный отпуск за вредные условия труда, выплата за стаж непрерывной работы, оплата листков нетрудоспособности, гарантии обязательного государственного социального и пенсионного обеспечения в соответствии с федеральным законом, обучение за счет федерального бюджета либо за счет средств организации, дружный коллектив, возможность профессионального и карьерного роста, Возможность участия в программах «Земский доктор», «Вятский медик»
(83353) 21444, 21445
Врач-оториноларинголог
КОГБУЗ "Свечинская центральная районная больница"
Зарплата от 42 000 руб.
Жильё предоставляется, Выплата по программам «Земский доктор» 1,5 млн, «Вятский медик» 750 тыс., Частичная компенсация расходов на оплату коммунальных услуг, Социальный пакет:, основной отпуск – 28 календарных дней, дополнительный отпуск - 14 календарных дней, выплаты за вредные условия работы не менее- 4%, возможность совместительства, возможность переподготовки по смежной специальности
гл, врач: (83358) 2-14-48, отдел кадров 8 (83358) 21-454
Врач-невролог
КОГБУЗ "Кировская городская больница № 2"
Зарплата от 55 000 руб.
Жильё не предоставляется, предоставляется специальная социальная выплата, Возможна профессиональная переподготовка за счет средств медицинской организации
(8332) 410060 (доб.218)
Врач общей практики (семейный врач)
КОГБУЗ "Белохолуницкая центральная районная больница"
Зарплата от 60 000 руб.
Жильё предоставляется, Указанная заработная плата включает должностной оклад, стимулирующие, компенсационные выплаты на основании положения по оплате труда учреждения, Специальные социальные выплаты-14,5 тыс. руб., Возможность совместительства, Внеочередное предоставление мест в детских садах, Участие в программе «Земский доктор» - 1,7 млн. руб., Возможность получения другой специальности
(83364) 41773, факс (83364) 42421
Врач-гематолог
КОГБУЗ "Кировская областная детская клиническая больница"
Зарплата от 45 000 руб.
Жильё не предоставляется, конкретная заработная плата зависит от наличия квалификационной категории, стажа непрерывной работы, научного звания, социальный пакет (оплачиваемый основной и дополнительный отпуск, больничный, отчисление в различные фонды, включая ПФ РФ, компенсация платы за частный детский сад), профессиональная переподготовка по специальности «Гематология» за счет Работодателя
(8332) 620992